
齐鲁晚报.齐鲁壹点记者郭蕊通讯员陈丽艳王燕配资查询网站官网
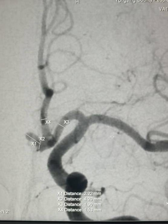
作为济南市第四人民医院派驻永靖县人民医院的第四批组团式帮扶专家,神经外科孔令超医师在日常的查房中,发现一例反复头疼的病人需要脑血管造影检查,他以专业的眼光和严谨的态度,在造影中敏锐地发现了一例颅内动脉瘤。这颗深藏于颅内的“不定时炸弹”,时刻威胁着患者的生命健康。面对这一复杂病例,帮扶医生深知责任重大,第一时间将情况详细汇报至“娘家”——济南市第四人民医院。
千里驰援,传递技术薪火
消息传来,济南市四院当即作出部署:“全力以赴支持!要把最好的技术送到永靖同胞身边!”这道指令,不仅是对帮扶工作的高度重视,更是一份沉甸甸的责任与承诺。济南市四院迅速委派神经外科经验丰富的滕宏涛主任,远赴甘肃省永靖县人民医院进行现场手术和指导。与此同时,永靖县人民医院也积极协调,为手术的顺利开展开辟绿色通道,调配最优资源。两家医院,虽远隔山海,此时此刻,却因守护生命的共同信念而紧密相连。
妙手“拆弹”,开创县域先河
手术台上,无影灯下,一场精细的“生命保卫战”悄然打响。滕宏涛主任带领帮扶专家孔令超医师及党文平主任,为患者成功实施了“支架辅助下颅内动脉瘤介入栓塞术”。这是一项技术要求极高的微创手术,如同在错综复杂的血管迷宫中,为脆弱的动脉瘤壁精准地放置一个“保护支架”,再用比头发丝还细的微导管将栓塞材料填入瘤体,彻底解除破裂风险。
步骤精准无误,操作沉稳娴熟。最终这颗“颅内炸弹”被成功拆除。这是永靖县人民医院首例神经血管介入手术,标志着该院在脑血管疾病介入治疗领域实现了“零的突破”。
术后,患者恢复良好,不久便康复出院。重获新生的患者与满怀感激的家属,将一面承载着无限敬意的锦旗,送到了帮扶专家孔令超医生手中。锦旗虽轻,情谊却重,它无声地诉说着:是济南专家的精湛技术与永靖医者的勤勉精进,共同创造了这个生命奇迹;是东西部协作的“组团式”帮扶机制,将顶尖医疗技术扎根于县域土壤,惠泽百姓。
配资查询网站官网
红启网配资提示:文章来自网络,不代表本站观点。